Fistula Repairs
Confidence Begins with Expert Care
Satisfied Patients
Year of Experience
Satisfied Patient
Awards
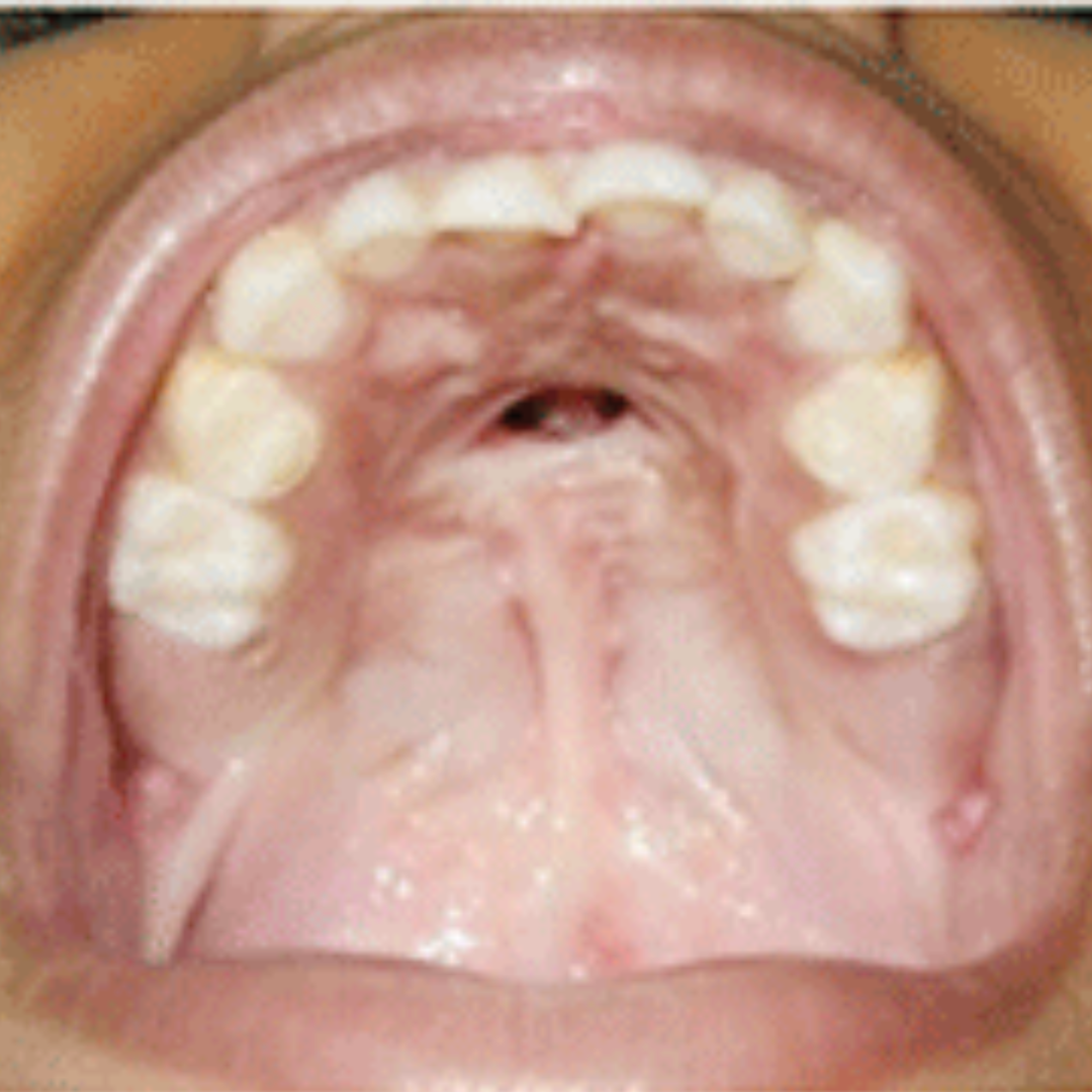
What is Fistula Repairs?
Fistula repair is a surgical procedure done to close an abnormal opening (called a fistula) that forms between the mouth and nasal cavity after cleft palate surgery. These fistulae are unintended holes that occur when the tissue doesn’t heal properly after the initial cleft repair. The goal of the repair is to restore proper function for speech, eating, and prevent nasal regurgitation.
What causes it:
- Tension at the surgical site causing the wound to break down
- Infection or poor post-surgical healing
- Insufficient tissue to close the cleft during the initial surgery
- Repeated surgeries that reduce tissue elasticity
- Delayed initial cleft repair, which can complicate closure
Symptoms:
- Nasal regurgitation (food or fluids coming out of the nose while eating)
- Hypernasal speech (excess air escaping through the nose while speaking)
- Difficulty in eating or swallowing
- Visible hole or opening in the roof of the mouth
- Bad breath or recurrent oral infections
Complete Process
Evaluation & Imaging
Clinical exam and imaging (MRI, CT, fistulogram) help assess the fistula’s type, size, and location. Speech function is also reviewed.
Surgical Planning
The technique is chosen based on complexity—commonly using local flaps, tongue flaps, or tissue grafts for closure.
Surgery & Healing
Performed under general anesthesia. Recovery includes wound care, antibiotics, and short hospital stay (1–5 days).
Post-Op Monitoring & Support
Regular follow-ups ensure proper healing. Speech therapy and oral hygiene guidance are provided to prevent recurrence.
Fistula Repairs
Why Choose Us for Fistula Repairs?
- Experienced team in cleft-related fistula repairs.
- Use of MRI, CT, and fistulograms for precise planning.
- Flap and graft techniques tailored to each patient.
- Pre- and post-op guidance with speech therapy if needed.
- Fully equipped OT with latest surgical tools.
- Proven outcomes with minimal recurrence.


Need Help?
Patient Recovery & Care Tips
- Keep the area clean and dry
- Use sitz baths as recommended
- Avoid straining during bowel movements
- Complete antibiotic and wound care courses
- Report any unusual discharge or fever immediately
- Attend all follow-up visits for evaluation
Get In Touch!
We Would Love to Hear from You!
If you’re experiencing a fistula and seeking expert, personalized treatment, contact us today for a private consultation.
+91-98765-43210
info@astheticplasticsurgery.com
Asthetic Plastic Surgery 2nd Floor, Wellness Plaza South Extension, New Delhi – 110049
Testimonials
Hear directly from our patients as they share their personal journeys—how expert care, advanced procedures, and compassionate support helped them regain confidence and improve their quality of life. These testimonials reflect the transformative impact of our work and the dedication we bring to every patient’s experience.
"The post-op care made all the difference. Doctors followed up regularly and helped me adjust after surgery. I wish I’d done it sooner!"
Explore Our Latest Blogs
Discover insightful articles covering treatments, recovery tips, real patient experiences, and the latest advancements in medical care. Whether you’re exploring your options or seeking to better understand a condition, our blogs offer reliable information and compassionate guidance to support you every step of the way.
FAQ
Frequently Asked Questions
Yes, fistula repair is a safe and commonly performed procedure when done by an experienced surgeon. Modern techniques minimize complications and promote faster healing.
If you’re experiencing nasal speech, food or fluid leaking through the nose, or difficulty in pronunciation after cleft surgery, you may be a good candidate. We recommend visiting us for a detailed evaluation.
Recovery typically takes 1–2 weeks for basic healing. Our team provides full post-op support to ensure a comfortable and effective recovery process.
Absolutely. Our goal is to restore normal speech and function. Patients often notice a significant improvement in comfort, speech clarity, and overall quality of life.
Yes, in most cases. With proper post-op care and expert surgical techniques used at our clinic, the results are long-lasting. In rare complex cases, additional correction may be needed.
Yes, we offer easy EMI and financing plans to make your treatment accessible and stress-free. Contact us to learn more.